![]() | ![]() | ![]() |
| | ||
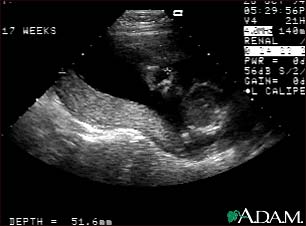
Ultrasound, normal relaxed placenta

This is a normal fetal ultrasound performed at 19 weeks gestation. This ultrasound shows two interesting features. In the foreground, to the left and middle of the screen, you can see the placenta, following the curve of the uterus. In the background on the right, where the cross hair is pointing, you can see the face with all the facial features visible.
Update Date: 1/24/2008 Updated by: Benjamin Taragin, M.D., Adjunct Professor of Radiology, Columbia Presbyterian School of Medicine, New York, NY, and Attending Radiologist, St. Joseph's Hospital, Paterson, NJ. Review provided by VeriMed Healthcare Network. Also reviewed by David Zieve, MD, MHA, Medical Director, A.D.A.M., Inc.
