![]() | ![]() | ![]() |
| | ||
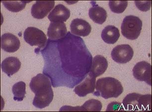
Infectious mononucleosis #3

Infectious mononucleosis is caused by the Epstein-Barr virus. It is a viral infection causing high temperature, sore throat, and swollen lymph glands. Infectious mononucleosis can be contagious if the infected person comes in close or intimate contact with another person through saliva or sexual contact.
Update Date: 9/17/2008 Updated by: David C. Dugdale, III, MD, Professor of Medicine, Division of General Medicine, Department of Medicine. University of Washington School of Medicine; and Jatin M. Vyas, PhD, MD, Instructor in Medicine, Harvard Medical School, Assistant in Medicine, Division of Infectious Disease, Massachusetts General Hospital. Also reviewed by David Zieve, MD, MHA, Medical Director, A.D.A.M., Inc.
