![]() | ![]() | ![]() |
| | ||
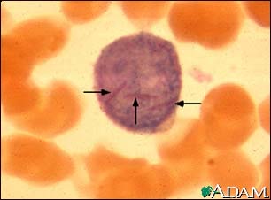
Auer rods

Note multiple Auer rods which are found only in acute myeloid leukemias, either myeloblastic or monoblastic. These rods consist of clumps of azurophilic granule material.
Update Date: 7/11/2008 Updated by: David C. Dugdale, III, MD, Professor of Medicine, Division of General Medicine, Department of Medicine, University of Washington School of Medicine; and James R. Mason, MD, Oncologist, Director, Blood and Marrow Transplantation Program and Stem Cell Processing Lab, Scripps Clinic, Torrey Pines, California. Also reviewed by David Zieve, MD, MHA, Medical Director, A.D.A.M., Inc.
