![]() | ![]() | ![]() |
| | ||
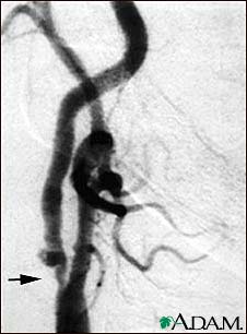
Carotid stenosis, X-ray of the right artery

This is an angiogram of the right carotid artery showing a severe narrowing (stenosis) of the internal carotid artery just past the carotid fork. There is enlargement of the artery or ulceration in the area after the stenosis in this close-up film. Note the narrowed segment toward the bottom of the picture.
Update Date: 7/15/2008 Updated by: Alan Berger, MD, Assistant Professor, Divisions of Cardiology and Epidemiology, University of Minnesota, Minneapolis, MN. Review provided by VeriMed Healthcare Network. Also reviewed by David Zieve, MD, MHA, Medical Director, A.D.A.M., Inc.
